is a medical specialty that utilises various imaging techniques to diagnose and treat diseases and injuries by producing detailed images of the inside of the body.
Radiologists are medical doctors who specialize in interpreting medical images and providing diagnostic insights to guide patient care.
Imaging Techniques:
- X-rays: X-rays use electromagnetic radiation to produce images of bones, organs, and other structures within the body. They are commonly used to detect fractures, lung conditions, and abnormalities in the chest, abdomen, and extremities.
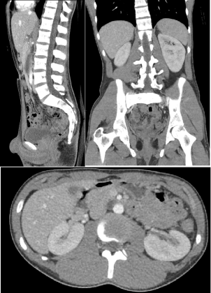
- Computed Tomography (CT): CT scans use a series of X-ray images taken from different angles to create cross-sectional images of the body. They provide detailed views of bones, soft tissues, and organs and are useful for diagnosing conditions such as tumours, infections, trauma, and vascular diseases.
- Magnetic Resonance Imaging (MRI): MRI uses a magnetic field and radio waves to generate detailed images of organs, tissues, and structures within the body. It is particularly effective for imaging the brain, spinal cord, joints, soft tissues, and blood vessels and is often used to diagnose neurological disorders, musculoskeletal injuries, and cancer.
- Ultrasound: Ultrasound imaging uses high-frequency sound waves to create real-time images of internal organs, blood vessels, and foetal development. It is commonly used for evaluating the abdomen, pelvis, heart, blood flow, and pregnancy and is non-invasive and radiation-free.
- Nuclear Medicine: Nuclear medicine involves administering radioactive tracers that emit gamma rays and using specialized cameras to create images of organ function and metabolism. It is used to diagnose conditions such as cancer, heart disease, thyroid disorders, and bone conditions.

Diagnostic Procedures
Here’s a detailed overview of radiology and common diagnostic procedures performed by radiologists:
- Image Interpretation: Radiologists interpret medical images obtained from various imaging modalities, analyse anatomical structures and abnormalities, and provide diagnostic reports to referring physicians.
- Image-Guided Biopsy: Radiologists use imaging techniques such as ultrasound, CT, or MRI to guide the placement of needles or catheters for biopsy procedures to obtain tissue samples for diagnosis.
- Angiography: Angiography involves injecting contrast dye into blood vessels and using X-rays or other imaging techniques to visualize blood flow and detect abnormalities such as blockages, aneurysms, or vascular malformations.
Tips for staying Healthy
By adopting healthy lifestyle habits and seeking regular medical care, you can help prevent disease, maintain overall health, and promote well-being. If you have specific health concerns or risk factors, consult with your healthcare provider for personalized guidance and recommendations.
Eat a Healthy Diet: Follow a balanced diet rich in fruits, vegetables, whole grains, lean proteins, and healthy fats to provide essential nutrients, support overall health, and reduce the risk of obesity, heart disease, and other health conditions.
Stay Hydrated: Drink plenty of water throughout the day to stay hydrated and support bodily functions.
Avoid Tobacco and Alcohol: Avoid smoking, vaping, and exposure to second-hand smoke, as well as excessive alcohol consumption, to reduce the risk of lung cancer, cardiovascular disease, and other health problems.
Regular Health Screenings: Schedule regular health screenings and check-ups with your healthcare provider for early detection and prevention of common health conditions such as hypertension, diabetes, cholesterol disorders, and cancer.
Exercise Regularly: Aim for at least 30 minutes of moderate-intensity exercise most days of the week. This can include activities like brisk walking, swimming, or cycling.
Manage Stress: Practice stress-reducing techniques such as mindfulness meditation, deep breathing exercises, or yoga to manage stress levels effectively.
Adequate Sleep: Aim for 7-9 hours of quality sleep per night to support overall health and well-being.